Free Virtual Consultation

At Glass Orthodontics

Start your smile journey with Glass Orthodontics—an expert orthodontic practice that understands your life in Jackson and Madison.
Learn if you’re a candidate for treatment from your phone. Dr. Glenn Glass will assess your smile and let you know if treatment is right for you.

How It Works

First, you'll tell us a little about yourself. Then, you'll snap a few pictures of your teeth.

Step 1:

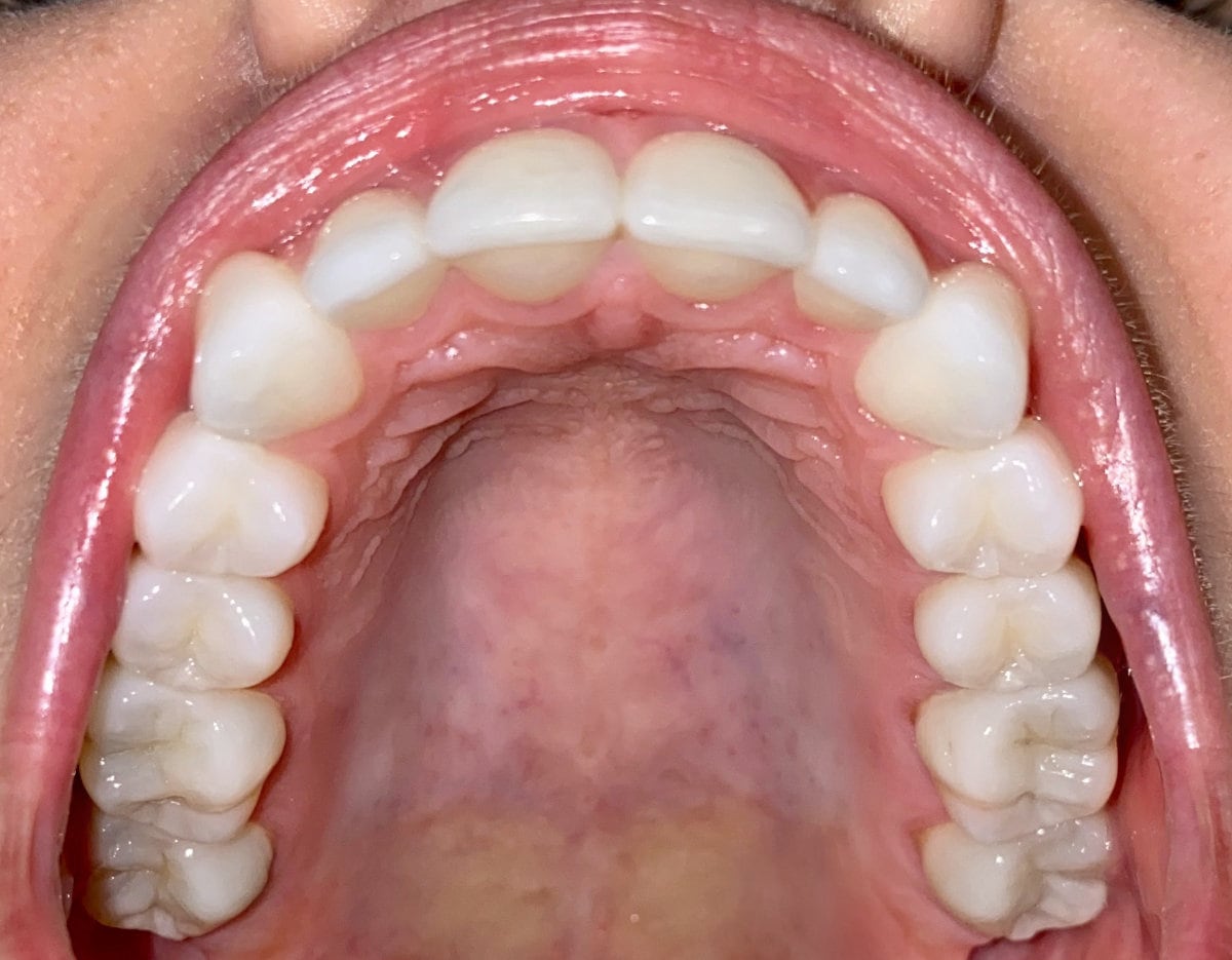
Take eight pictures of your smile from these angles.

front smile with no teeth
front smile with teeth
side profile photo
left side smile using spoons
front smile using spoons
Close-up of a healthy smile showing straight, white teeth, relevant for virtual consultations at Glass Orthodontics, emphasizing orthodontic care options like braces and Invisalign in Daphne, AL.
roof of mouth
Close-up of a person's open mouth showing teeth and gums, relevant for virtual consultation in orthodontics at Glass Orthodontics, highlighting dental condition for assessment in braces or Invisalign treatment.

Need help taking photos?

Step 2:

Fill out the form below.

  • Max. file size: 50 MB.

Step 3:

You’re finished! Dr. Glass will review your photos and get back to you soon with treatment plan options.

VERY IMPORTANT

When we send you an email, or you send us an email, the information sent is not encrypted. That means a third party may be able to access the information and read it since it is transmitted over the Internet. If you receive an email, someone may be able to access your email account and read it.

  • HIPAA stands for the Health Insurance Portability and Accountability Act
  • HIPAA was passed by the U.S. government in 1996 in order to establish privacy and security protections for health information
    Information stored on our computers is encrypted.
  • Most popular email services (ex. Hotmail®, Gmail®, Yahoo®) do not utilize encrypted email.
  • Email is a very popular and convenient way to communicate for a lot of people, so in their latest modification to the HIPAA Act, the federal government provided guidance on email and HIPAA.
  • The guidelines state that if a patient has been made aware of the risks of unencrypted email, and that same patient provides consent to receive health information via email, then a health entity may send that patient personal medical information via unencrypted email.
  • Read more information. <https://www.gpo.gov/fdsys/pkg/FR-2013-01-25/pdf/2013-01073.pdf>.

By requesting a virtual consultation via email, you’re agreeing to the terms and conditions of using unencrypted email to communicate health information.